专利


ISO
高新技术
logo
微信公众号二维码

关注微信公众号

手机站二维码

前往手机站

订单查询
search-icon

产品分类

科研ELISA 科研人Elisa 科研大鼠Elisa 科研小鼠Elisa 科研仓鼠Elisa 科研兔Elisa 科研猪Elisa 科研其它Elisa 科研鱼Elisa 科研豚鼠Elisa 科研鸡Elisa 科研鸭Elisa 科研猴Elisa 科研牛羊马类Elisa 科研药物残留ELISA 科研植物Elisa
农残及其它检测 酶免试剂盒ELISA竞争法 动物酶免试剂盒ELISA竞争法 镇静剂ELISA竞争法 镇痛药ELISA竞争法 毒素ELISA竞争法 材料助剂ELISA竞争法 生理活性物ELISA竞争法 乳品添加物ELISA竞争法 环境污染物ELISA竞争法 保化添加物ELISA竞争法 水产杀菌剂ELISA竞争法 农药ELISA竞争法 色素ELISA竞争法 抗生素ELISA竞争法 性激素ELISA竞争法 瘦肉精ELISA竞争法 重金属ELISA竞争法 抗病毒ELISA竞争法 防霉剂ELISA竞争法 过敏原/营养抑制因子 不用的分类 致病菌ELISA竞争法 其他检测ELISA竞争法 食品加工危害物ELISA竞争法 食品添加剂ELISA竞争法
PCR试剂盒 PCR检测试剂盒 探针法qPCR试剂盒
生化试剂盒 氧化磷酸化系列 植物激素系列 氧化与抗氧化系列 果胶系列 辅酶Ⅱ系列 谷胱甘肽系列 维生素C代谢系列 氮代谢系列 氨基酸代谢系列 酯酶系列 三羧酸循环系列 糖酵解系列 蛋白酶系列 脂肪酸代谢系列 淀粉系列 蔗糖系列 糖代谢系列 P450系列 离子系列 土壤系列 信号系列 其它系列 蛋白含量测定系列 糖异生系列 糖原系列 维生素系列 光合作用系列 辅酶Ⅰ系列 花青素合成系列 乙醛酸循环系列 海藻糖系列
金标检测卡 组织快速检测卡 凉茶快速检测卡 检测卡 蜂蜜快速检测卡 保化快速检测卡 禽蛋快速检测卡 生鲜乳快速检测卡 理化类以及酶试剂 农药残留快速检测卡 粮油谷物饲料快速检测卡 其他非法添加快速检测卡 动物疫病快速检测卡 量子点定量检测卡 食品胶体金检测卡 牛奶抗生素检测卡
技术支持与外包实验 实验外包服务 技术支持 常见问题 脱钙 石蜡包埋 石蜡切片 普通病理染色 免疫组化荧光 切片全景扫描 TUNEL 超微病理 分子病理 荧光微球 抗体制备耗材及仪器 抗体定制服务 亲和柱
动物血清及细胞培养 胎牛血清 其他动物血清 裂解血 小牛血清 新生牛血清 其他同类产品 细胞检测及细胞保护试剂 抗生素及选择性试剂 细胞冻存液 培养基营养添加剂 动物疫苗专用血清 诊断试剂专用血制品 新西兰Bovogen血清
代理品牌 免疫学类 分子学类 生化学类
酶联抗体 一抗 内参抗体 抗体相关支持试剂 标签抗体
二抗 AP标记二抗 Biotin标记二抗 HRP标记二抗 PE标记二抗 荧光标记二抗 其他动物二抗
细胞系 人细胞系 猪细胞系 猴细胞系 小鼠细胞系 大鼠细胞系 其他细胞系
原代细胞 人原代细胞 大鼠原代细胞 小鼠原代细胞 兔原代细胞 猪原代细胞 其他原代细胞 鸡原代细胞
细胞专用培养基 基础培养基 兔细胞专用培养基 人细胞专用培养基 细胞系专用培养基 小鼠细胞专用培养基 大鼠细胞专用培养基 其他细胞专用培养基 LUC细胞专用培养基 永生化细胞专用培养基
完全培养基 完全培养基 人完全培养基 大鼠完全培养基 小鼠完全培养基 其他完全培养基
细胞库 菌株 细胞株 永生化细胞 耐药细胞株 荧光示踪稳株 luc示踪细胞株 细胞冻存液
病理染色液 HE染色 骨组织染色 碳水化合物染色 固定液 结缔组织染色 脱钙液 酶类染色 细胞染色 植物染色 指示剂 其他染色 微生物染色 核酸染色 金属及盐染色 神经染色 脂类染色 色素染色
生化试剂 氨基酸类 蛋白质类 维生素类 缓冲剂类 培养基类 酶类 碳水化合物类 色素类 植物激素及核酸类 表面活性剂类 其他生化试剂 抗生素类 测试盒类 分离材料及耗材类 其它试剂类 石墨烯所有产品 常见生化试剂
标准品/对照品 中药标准品 对照药材 中检所产品 标准溶液 化学标准品 中国计量院
细胞株 人源性细胞株 小鼠源性细胞株 大鼠源性细胞株 酵母菌 大鼠原代细胞 小鼠原代细胞 人原代细胞 兔原代细胞 其他原代细胞 其他源性细胞株
进口国产培养基 美国药典培养基 化妆品检验培养基 大肠杆菌、大肠菌群 金黄色葡萄球菌检验 消毒灭菌效果评价 临床检验用培养基 中华人民共和国药典 欧洲药典(EP) 饮用天然矿泉水检验方法 微生物检验 肠球菌、链球菌 沙门氏菌、志贺氏菌 弧菌 弯曲杆菌 李斯特氏菌 产气荚膜梭菌 阪崎肠杆菌 乳酸菌、双歧杆菌 小肠结肠炎耶尔森氏菌 一次性试管、液体培养基 乳酸菌检验 菌落总数测定、无菌检验 显色培养基 植物组培
酶标仪 酶标仪 洗板机
细胞培养类 细胞株 动物细胞 人细胞类 细胞分离液 细胞系 品牌细胞 ATCC细胞
英国IDS IDS EILSA剂盒
感受态细胞 表达感受态细胞 发根农杆菌感受态细胞 酵母感受态细胞 根癌农杆菌感受态细胞 克隆感受态细胞
农牧食品残留有害检测 保化快速检测系列 便携综合解决方案 非法添加快检系列 劣质油快筛系列 农残留快检系列 兽残疫病快检系列 微生物快检系列 重金属快检系列
其他试剂盒 其他产品
分子生物学试剂 DNA溶液 RNA溶液 蛋白电泳 蛋白其他 核酸电泳 核酸提取 核酸杂交 酶抑制剂 免疫印迹 核酸其他 分子生物学试剂 蛋白提取与检测
标准溶液 标准溶液 滴定液
常规溶液 抗凝剂 其他溶液 药典溶液
细胞生物学试剂 抗生素 佐剂 蛋白类 细胞检测 细胞培养 细胞其他 细胞组分分离
免疫学试剂 免疫学试剂
检测试剂盒 生化检测 酶类检测 植物检测 氧化检测
形态病理检测
科研细胞因子 转化生长因子 白细胞介素因子 肿瘤坏死因子 集落刺激因子 干扰素因子 其他生长因子 神经营养因子 表皮生长因子 胰岛素样生长因子 血管内皮生长因子 血小板衍生生长因子 成纤维细胞生长因子
原料/抗原抗体 抗体类/原料 抗原类/原料 抗原抗体/原料 进口抗体/原料 进口抗原/原料 蛋白类抗体/原料 进口抗原抗体/原料
抗原/抗体
细胞凋亡与检测 细胞凋亡 凋亡试剂盒 免疫磁珠试剂盒
生化检测类 HPLC试剂盒 核苷酸系列 色素系列 抗生素残留系列 植物黄酮系列 甾醇系列 木质素单体系列 中药成分系列 生物碱系列 生物胺系列 不饱和脂肪酸系列 动物激素系列 花色苷系列 有机酸系列 植物多酚系列
酶联产品
科研ELISA 科研人Elisa 科研大鼠Elisa 科研小鼠Elisa 科研其它Elisa
农残及其它检测 酶免试剂盒ELISA竞争法 动物酶免试剂盒ELISA竞争法 镇静剂ELISA竞争法 镇痛药ELISA竞争法 毒素ELISA竞争法 材料助剂ELISA竞争法 生理活性物ELISA竞争法 乳品添加物ELISA竞争法 环境污染物ELISA竞争法 保化添加物ELISA竞争法 水产杀菌剂ELISA竞争法 农药ELISA竞争法 色素ELISA竞争法 抗生素ELISA竞争法 性激素ELISA竞争法 瘦肉精ELISA竞争法 重金属ELISA竞争法 抗病毒ELISA竞争法 防霉剂ELISA竞争法 过敏原/营养抑制因子 其他检测ELISA竞争法
PCR试剂盒 PCR检测试剂盒 探针法qPCR试剂盒
生化试剂盒 氧化磷酸化系列 植物激素系列 氧化与抗氧化系列 果胶系列 辅酶Ⅱ系列 谷胱甘肽系列 维生素C代谢系列 氮代谢系列 氨基酸代谢系列 酯酶系列 三羧酸循环系列 糖酵解系列 蛋白酶系列 脂肪酸代谢系列 淀粉系列 蔗糖系列 糖代谢系列 P450系列 离子系列 土壤系列 信号系列 其它系列 蛋白含量测定系列 糖异生系列 糖原系列 维生素系列 光合作用系列 辅酶Ⅰ系列 花青素合成系列 乙醛酸循环系列 海藻糖系列
金标检测卡 组织快速检测卡 凉茶快速检测卡 检测卡 蜂蜜快速检测卡 保化快速检测卡 禽蛋快速检测卡 生鲜乳快速检测卡 理化类以及酶试剂 农药残留快速检测卡 粮油谷物饲料快速检测卡 其他非法添加快速检测卡 动物疫病快速检测卡 量子点定量检测卡 食品胶体金检测卡 牛奶抗生素检测卡
技术支持与外包实验 实验外包服务 技术支持 常见问题 脱钙 石蜡包埋 石蜡切片 普通病理染色 免疫组化荧光 切片全景扫描 TUNEL 超微病理 分子病理 荧光微球 抗体制备耗材及仪器 抗体定制服务 亲和柱
酶联抗体 一抗 内参抗体 抗体相关支持试剂 标签抗体
酶标仪 酶标仪 洗板机
其他试剂盒 其他产品
免疫学试剂 免疫学试剂
科研细胞因子 转化生长因子 白细胞介素因子 肿瘤坏死因子 集落刺激因子 干扰素因子 其他生长因子 神经营养因子 表皮生长因子 胰岛素样生长因子 血管内皮生长因子 血小板衍生生长因子 成纤维细胞生长因子
原料/抗原抗体 抗体类/原料 抗原类/原料 抗原抗体/原料 进口抗体/原料 进口抗原/原料 蛋白类抗体/原料 进口抗原抗体/原料
细胞凋亡与检测 凋亡试剂盒 免疫磁珠试剂盒
广告
当前位置:首页 > 酶联抗体 > 一抗
兔抗CDK3多克隆抗体主图

兔抗CDK3多克隆抗体

prev next

  • 货 号:ml082524
  • 100ul
    规 格:
    ¥1560.00元
    价 格:
    25ul
    规 格:
    ¥420.00元
    价 格:
  • 快速询价     QQ:2881505708 免费咨询电话:021-54223675 / 021-54461730
    【友情提示】:产品价格与说明书请点击上面的链接,在线询价,索要说明书;
  • 重要提示:因产品不断更新,官网说明书如与纸质版有出入,请以纸质版为准!
  • PDF下载
    产品扫码查看详情
    手机扫描查看
中文名称:兔抗CDK3多克隆抗体 

英文名称:Anti-CDK3 rabbit polyclonal antibody

相关类别:一抗

储       存:冷冻(-20℃)

抗       原:CDK3

宿       主:Rabbit

反应种属:Human, Mouse

标  记  物:Unconjugate

克隆类型:rabbit polyclonal

技术规格
 

Background:

This gene encodes a member of the cyclin-dependent protein kinase family. The protein promotes entry into S phase, in part by activating members of the E2F family of transcription factors. The protein also associates with cyclin C and phosphorylates the retinoblastoma 1 protein to promote exit from G0. Serine/threonine-protein kinase that plays a critical role in the control of the eukaryotic cell cycle; involved in G0-G1 and G1-S cell cycle transitions. Interacts with CCNC/cyclin-C during interphase. Phosphorylates histone H1, ATF1, RB1 and CABLES1. ATF1 phosphorylation triggers ATF1 transactivation and transcriptional activities, and promotes cell proliferation and transformation. CDK3/cyclin-C mediated RB1 phosphorylation is required for G0-G1 transition. Promotes G1-S transition probably by contributing to the activation of E2F1, E2F2 and E2F3 in a RB1-independent manner.

Applications:

ELISA, IHC

Name of antibody:

CDK3

Immunogen:

Synthetic peptide of human CDK3

Full name:

cyclin-dependent kinase 3

SwissProt:

Q00526

ELISA Recommended dilution:

1000-5000

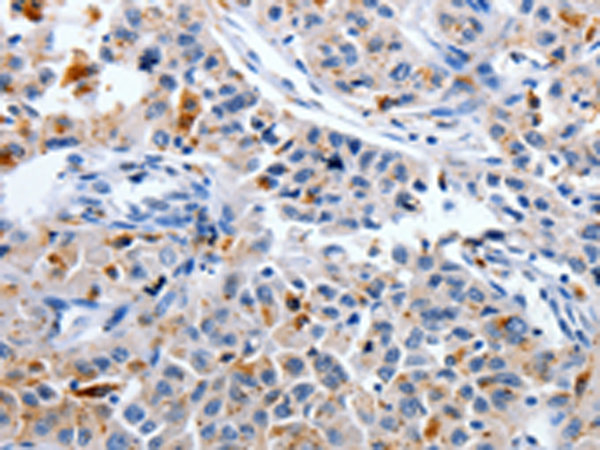
IHC positive control:

Human lung cancer

IHC Recommend dilution:

25-100

 

酶联生物经过不断的实验优化和改进,积累了大量的经验,拥有专业的酶联研发团队。利用专业的酶联免疫技术自主研发的elisa试剂盒,能对血清及其它样本定量检测抗原,定性检测特异性抗体。优质的试剂,先进的仪器和正确的操作是保证ELISA检测结果准确可靠的必要条件。ELISA检测的方便性、稳定性、重复性和可靠性方面都具有很大的优势。

ELISA检测技术服务内容:
1、双抗体夹心法检测抗原 2、间接法检测抗体 3、为客户提供各种ELISA技术进行样本检测。
elisa代测服务项目
以上代测费,凡购买本公司试剂盒,我们免费代测!
凡购买本公司目录任何一种酶联免疫检测试剂盒,您只需将需要检测的动物(Human, Rat, Mouse, Rabbit, Monkey, Pig……)种类和检测指标(白介素类、激素类)及标本数量(48T/96T)通知公司业务员即可。在接到客户标本当日起,现货产品一周内将检测报告交到客户手中!
欢迎各科研单位在各种项目上与我们公司开展不同层次的密切合作,以双赢求发展,共同进步,为中国检测事业的发展积累经验。

二、样本要求
在收集标本前都必须有一个完整的计划,必须清楚要检测的成份是否足够稳定。我们提倡新鲜标本尽早检测,对收集后当天就进行检测的标本,及时储存在4℃备用,如有特殊原因需要周期收集标本,请造模取材后,将标本及时分装后放在-20℃或-70℃条件下保存。因冰室与室温存在一定温差,蛋白极易降解,直接影响实验质量,所以避免反复冻融。代测放免标本的客户取材前须向我司销售人员索要说明书,具体操作注意事项请与我司技术人员沟通。

液体类标本:标本必须为液体,不含沉淀。包括血清、血浆、尿液、胸腹水、脑脊液、细胞培养上清、组织匀浆等。

血清:室温血液自然凝固10-20分钟后,离心20分钟左右(2000-3000转/分)。收集上清。如有沉淀形成,应再次离心。

血浆:应根据试剂盒的要求选择EDTA、柠檬酸钠或肝素作为抗凝剂,加入10%(v/v)抗凝剂(0.1M柠檬酸钠或1%heparin 或2.0%EDTA.Na2)混合10-20分钟后,离心20分钟左右(2000-3000转/分)。仔细收集上清。如有沉淀形成,应再次离心。

尿液、胸腹水、脑脊液:用无菌管收集。离心20分钟左右(2000-3000转/分)。仔细收集上清。如有沉淀形成,应再次离心。

细胞培养上清:检测分泌性的成份时,用无菌管收集。离心20分钟左右(2000-3000转/分)。仔细收集上清。检测细胞内的成份时,用PBS(PH7.0-7.4)稀释细胞悬液,细胞浓度达到100万/ml左右。通过反复冻融,以使细胞破坏并放出细胞内成份。离心20分钟左右(2000-3000转/分)。仔细收集上清。保存过程中如有沉淀形成,应再次离心。

组织标本:切割标本后,称取重量。加入一定量的PBS,缓冲液中可加入1μg/L蛋白酶抑制剂或50U/ml的Aprotinin(抑肽酶)。用手工或匀浆器将标本匀浆充分。离心20分钟左右(2000-3000转/分)。仔细收集上清置于-20度或-70度保存,如有必要,可以将样品浓缩干燥。分装后一份待检测,其余冷冻备用。

三、寄标本时需注明以下情况:
1、标本编号;2、所测项目;3、是否做复孔;3、联系方式;4、实验后标本是否寄回。

客户须知:
客户应对所提供的材料及信息负责,如因客户提供的材料及信息不准确而引起的实验延误或经济损失由客户承担。

 

上海酶联生物抗体常见问题汇总

 

1. 收到抗体产品后应如何处理

 

收到抗体后,在分装储存及使用时需在生物安全柜中进行,并使用无菌枪头、离心管、注射器和缓冲液等,降低污染率。另外,使用前抗体要处于低温状态。

 

2. 如何正确保存抗体抗体产品

 

请将抗体置于4℃避光储存。无菌操作。即使分装后,也不推荐将抗体冷冻保存。避免将抗体稀释至工作浓度后在4℃条件下储存超过一天,建议现用现配。  

 

3. 如果没按说明书上的储存要求,将抗体置于室温储存了一段时间,还可以继续使用

 

一般来说,室温下放置几个小时不会影响抗体的活性,但是放置几天或者更长时间则有可能会导致蛋白降解,影响抗体活性,不建议使用。  

 

4. 抗体抗体的保质期有多久

 

按说明书要求储存,抗体抗体有效期为1年。  

 

5. 抗体抗体是冻干粉还是液体形式

 

抗体抗体均以无菌PBS缓冲液的形式提供。该溶液中不含稳定剂、防腐剂、载体蛋白、甘油或任何其他添加剂。抗体的pI值决定了PBS缓冲液的pH值。  

 

6. 抗体收到后有漂浮物、絮状沉淀或聚集物是否正常?应如何处理

 

存在聚集物或沉淀物属于正常现象,不会影响抗体的活性。可以在室温下轻轻摇晃使其溶解,或过滤或离心去除。  

 

7. 抗体抗体的浓度是多少

抗体不同批次抗体的浓度不同,但一般来说是在4到11mg/mL之间。包装的离心管上会标记抗体的具体浓度。如果需要在订购之前知道产品的确切浓度,如果不能确定可以先联系我

 

8. 应如何稀释抗体至工作浓度

 

在没有InVivoPure稀释缓冲液的情况下,可以使用与抗体PBS缓冲液pH相同或相近的的无菌PBS,以避免蛋白聚集。稀释时,建议使用预冷缓冲液,并在生物安全柜中操作,使用无菌枪头、试管、注射器和缓冲液来保持抗体的无菌性。应避免将抗体稀释至工作浓度后在4℃条件下储存超过一天。

 

9. 抗体抗体的氨基酸或DNA序列是什么

 

我们的抗体是使用标准杂交瘤技术生产的,因此抗体的AA或DNA序列通常是未知的。  

 

10. 抗体抗体的抗原表位是什么

 

抗体不提供抗原表位信息,请客户咨询上海酶联生物  

 

11. 抗体抗体在体内的半衰期是多久

 

厂家内部并没有抗体在体内的半衰期数据。因为抗体的半衰期是高度可变的,并且受到物种、同型、抗原分布、抗原浓度和许多其他因素的影响。参考与您实验条件及设计相近的实验数据,预估抗体的半衰期。

 

12. 抗体抗体是否适用于体内注射实验

 

抗体所有的产品都是专门为体内使用而配制的。所有抗体均在无菌 InVivoPure缓冲液中配制。抗体溶液不含稳定剂、防腐剂、载体蛋白、甘油或任何其他添加剂。内毒素水平 <2EU/mg ( InVivoMab),这使它们有资格进行大多数体内研究。为了满足最严格的要求,抗体还提供内毒素水平较低的抗体:<1EU/mg ( InVivoPlus)。  

 

13. 抗体抗体是否适合体外应用

 

可用于体外应用,例如细胞培养实验和诊断测定,包括蛋白质印迹、免疫沉淀、IHC、流式细胞术等。请参阅各个产品页面以获取已批准的列表每种抗体的应用。另外所有抗体抗体都是未偶联的,因此流式细胞术和免疫荧光等应用需要使用荧光染料偶联的二抗。  

 

14. 小老鼠体内注射实验,应该多久注射一次?每次注射多少抗体

 

任何给定实验和抗体的最佳给药剂量和频率可能会因实验系统(即小鼠品系、疾病模型等)、实验持续时间、靶组织、抗原浓度和许多其他因素而有很大差异细节。出于这个原因,最佳剂量最好通过阅读与您感兴趣的抗体相关的产品参考文献来确定,以查找与您的实验系统类似的实验系统中的已发布数据。以此现有研究为起点,您可以通过实验优化给药剂量和频率。抗体的每种产品在产品网页上都有最新的参考列表。  

 

15. 体内实验中同种型对照组是否重要?如何选择合适的同种型对照

 

考虑同型对照处理组需要生成可靠的数据,因为它允许研究人员准确地区分以抗原特异性方式从初级抗体结合观察到的结果和从非抗原特异性结合或抗体注射的其他非特异性作用观察到的结果。同型对照抗体必须与一抗的宿主物种、同种型和亚类相匹配。为了方便我们的客户,我们在每个产品页面上列出了每种抗体的推荐的同型对照货号。  

 

16. 如果觉得自己的抗体效果不佳,怎么办

 

如果您怀疑您的抗体没有发挥最佳功能,请务必认真填写并提交技术服务申请表。您填写的实验信息越充分,抗体技术团队的建议才更可靠。