专利


ISO
高新技术
logo
微信公众号二维码

关注微信公众号

手机站二维码

前往手机站

订单查询
search-icon

产品分类

科研ELISA 科研人Elisa 科研大鼠Elisa 科研小鼠Elisa 科研仓鼠Elisa 科研兔Elisa 科研猪Elisa 科研其它Elisa 科研鱼Elisa 科研豚鼠Elisa 科研鸡Elisa 科研鸭Elisa 科研猴Elisa 科研牛羊马类Elisa 科研药物残留ELISA 科研植物Elisa
农残及其它检测 酶免试剂盒ELISA竞争法 动物酶免试剂盒ELISA竞争法 镇静剂ELISA竞争法 镇痛药ELISA竞争法 毒素ELISA竞争法 材料助剂ELISA竞争法 生理活性物ELISA竞争法 乳品添加物ELISA竞争法 环境污染物ELISA竞争法 保化添加物ELISA竞争法 水产杀菌剂ELISA竞争法 农药ELISA竞争法 色素ELISA竞争法 抗生素ELISA竞争法 性激素ELISA竞争法 瘦肉精ELISA竞争法 重金属ELISA竞争法 抗病毒ELISA竞争法 防霉剂ELISA竞争法 过敏原/营养抑制因子 不用的分类 致病菌ELISA竞争法 其他检测ELISA竞争法 食品加工危害物ELISA竞争法 食品添加剂ELISA竞争法
PCR试剂盒 PCR检测试剂盒 探针法qPCR试剂盒
生化试剂盒 氧化磷酸化系列 植物激素系列 氧化与抗氧化系列 果胶系列 辅酶Ⅱ系列 谷胱甘肽系列 维生素C代谢系列 氮代谢系列 氨基酸代谢系列 酯酶系列 三羧酸循环系列 糖酵解系列 蛋白酶系列 脂肪酸代谢系列 淀粉系列 蔗糖系列 糖代谢系列 P450系列 离子系列 土壤系列 信号系列 其它系列 蛋白含量测定系列 糖异生系列 糖原系列 维生素系列 光合作用系列 辅酶Ⅰ系列 花青素合成系列 乙醛酸循环系列 海藻糖系列
金标检测卡 组织快速检测卡 凉茶快速检测卡 检测卡 蜂蜜快速检测卡 保化快速检测卡 禽蛋快速检测卡 生鲜乳快速检测卡 理化类以及酶试剂 农药残留快速检测卡 粮油谷物饲料快速检测卡 其他非法添加快速检测卡 动物疫病快速检测卡 量子点定量检测卡 食品胶体金检测卡 牛奶抗生素检测卡
技术支持与外包实验 实验外包服务 技术支持 常见问题 脱钙 石蜡包埋 石蜡切片 普通病理染色 免疫组化荧光 切片全景扫描 TUNEL 超微病理 分子病理 荧光微球 抗体制备耗材及仪器 抗体定制服务 亲和柱
动物血清及细胞培养 胎牛血清 其他动物血清 裂解血 小牛血清 新生牛血清 其他同类产品 细胞检测及细胞保护试剂 抗生素及选择性试剂 细胞冻存液 培养基营养添加剂 动物疫苗专用血清 诊断试剂专用血制品 新西兰Bovogen血清
代理品牌 免疫学类 分子学类 生化学类
酶联抗体 一抗 内参抗体 抗体相关支持试剂 标签抗体
二抗 AP标记二抗 Biotin标记二抗 HRP标记二抗 PE标记二抗 荧光标记二抗 其他动物二抗
细胞系 人细胞系 猪细胞系 猴细胞系 小鼠细胞系 大鼠细胞系 其他细胞系
原代细胞 人原代细胞 大鼠原代细胞 小鼠原代细胞 兔原代细胞 猪原代细胞 其他原代细胞 鸡原代细胞
细胞专用培养基 基础培养基 兔细胞专用培养基 人细胞专用培养基 细胞系专用培养基 小鼠细胞专用培养基 大鼠细胞专用培养基 其他细胞专用培养基 LUC细胞专用培养基 永生化细胞专用培养基
完全培养基 完全培养基 人完全培养基 大鼠完全培养基 小鼠完全培养基 其他完全培养基
细胞库 菌株 细胞株 永生化细胞 耐药细胞株 荧光示踪稳株 luc示踪细胞株 细胞冻存液
病理染色液 HE染色 骨组织染色 碳水化合物染色 固定液 结缔组织染色 脱钙液 酶类染色 细胞染色 植物染色 指示剂 其他染色 微生物染色 核酸染色 金属及盐染色 神经染色 脂类染色 色素染色
生化试剂 氨基酸类 蛋白质类 维生素类 缓冲剂类 培养基类 酶类 碳水化合物类 色素类 植物激素及核酸类 表面活性剂类 其他生化试剂 抗生素类 测试盒类 分离材料及耗材类 其它试剂类 石墨烯所有产品 常见生化试剂
标准品/对照品 中药标准品 对照药材 中检所产品 标准溶液 化学标准品 中国计量院
细胞株 人源性细胞株 小鼠源性细胞株 大鼠源性细胞株 酵母菌 大鼠原代细胞 小鼠原代细胞 人原代细胞 兔原代细胞 其他原代细胞 其他源性细胞株
进口国产培养基 美国药典培养基 化妆品检验培养基 大肠杆菌、大肠菌群 金黄色葡萄球菌检验 消毒灭菌效果评价 临床检验用培养基 中华人民共和国药典 欧洲药典(EP) 饮用天然矿泉水检验方法 微生物检验 肠球菌、链球菌 沙门氏菌、志贺氏菌 弧菌 弯曲杆菌 李斯特氏菌 产气荚膜梭菌 阪崎肠杆菌 乳酸菌、双歧杆菌 小肠结肠炎耶尔森氏菌 一次性试管、液体培养基 乳酸菌检验 菌落总数测定、无菌检验 显色培养基 植物组培
酶标仪 酶标仪 洗板机
细胞培养类 细胞株 动物细胞 人细胞类 细胞分离液 细胞系 品牌细胞 ATCC细胞
英国IDS IDS EILSA剂盒
感受态细胞 表达感受态细胞 发根农杆菌感受态细胞 酵母感受态细胞 根癌农杆菌感受态细胞 克隆感受态细胞
农牧食品残留有害检测 保化快速检测系列 便携综合解决方案 非法添加快检系列 劣质油快筛系列 农残留快检系列 兽残疫病快检系列 微生物快检系列 重金属快检系列
其他试剂盒 其他产品
分子生物学试剂 DNA溶液 RNA溶液 蛋白电泳 蛋白其他 核酸电泳 核酸提取 核酸杂交 酶抑制剂 免疫印迹 核酸其他 分子生物学试剂 蛋白提取与检测
标准溶液 标准溶液 滴定液
常规溶液 抗凝剂 其他溶液 药典溶液
细胞生物学试剂 抗生素 佐剂 蛋白类 细胞检测 细胞培养 细胞其他 细胞组分分离
免疫学试剂 免疫学试剂
检测试剂盒 生化检测 酶类检测 植物检测 氧化检测
形态病理检测
科研细胞因子 转化生长因子 白细胞介素因子 肿瘤坏死因子 集落刺激因子 干扰素因子 其他生长因子 神经营养因子 表皮生长因子 胰岛素样生长因子 血管内皮生长因子 血小板衍生生长因子 成纤维细胞生长因子
原料/抗原抗体 抗体类/原料 抗原类/原料 抗原抗体/原料 进口抗体/原料 进口抗原/原料 蛋白类抗体/原料 进口抗原抗体/原料
抗原/抗体
细胞凋亡与检测 细胞凋亡 凋亡试剂盒 免疫磁珠试剂盒
生化检测类 HPLC试剂盒 核苷酸系列 色素系列 抗生素残留系列 植物黄酮系列 甾醇系列 木质素单体系列 中药成分系列 生物碱系列 生物胺系列 不饱和脂肪酸系列 动物激素系列 花色苷系列 有机酸系列 植物多酚系列
酶联产品
科研ELISA 科研人Elisa 科研大鼠Elisa 科研小鼠Elisa 科研其它Elisa
农残及其它检测 酶免试剂盒ELISA竞争法 动物酶免试剂盒ELISA竞争法 镇静剂ELISA竞争法 镇痛药ELISA竞争法 毒素ELISA竞争法 材料助剂ELISA竞争法 生理活性物ELISA竞争法 乳品添加物ELISA竞争法 环境污染物ELISA竞争法 保化添加物ELISA竞争法 水产杀菌剂ELISA竞争法 农药ELISA竞争法 色素ELISA竞争法 抗生素ELISA竞争法 性激素ELISA竞争法 瘦肉精ELISA竞争法 重金属ELISA竞争法 抗病毒ELISA竞争法 防霉剂ELISA竞争法 过敏原/营养抑制因子 其他检测ELISA竞争法
PCR试剂盒 PCR检测试剂盒 探针法qPCR试剂盒
生化试剂盒 氧化磷酸化系列 植物激素系列 氧化与抗氧化系列 果胶系列 辅酶Ⅱ系列 谷胱甘肽系列 维生素C代谢系列 氮代谢系列 氨基酸代谢系列 酯酶系列 三羧酸循环系列 糖酵解系列 蛋白酶系列 脂肪酸代谢系列 淀粉系列 蔗糖系列 糖代谢系列 P450系列 离子系列 土壤系列 信号系列 其它系列 蛋白含量测定系列 糖异生系列 糖原系列 维生素系列 光合作用系列 辅酶Ⅰ系列 花青素合成系列 乙醛酸循环系列 海藻糖系列
金标检测卡 组织快速检测卡 凉茶快速检测卡 检测卡 蜂蜜快速检测卡 保化快速检测卡 禽蛋快速检测卡 生鲜乳快速检测卡 理化类以及酶试剂 农药残留快速检测卡 粮油谷物饲料快速检测卡 其他非法添加快速检测卡 动物疫病快速检测卡 量子点定量检测卡 食品胶体金检测卡 牛奶抗生素检测卡
技术支持与外包实验 实验外包服务 技术支持 常见问题 脱钙 石蜡包埋 石蜡切片 普通病理染色 免疫组化荧光 切片全景扫描 TUNEL 超微病理 分子病理 荧光微球 抗体制备耗材及仪器 抗体定制服务 亲和柱
酶联抗体 一抗 内参抗体 抗体相关支持试剂 标签抗体
酶标仪 酶标仪 洗板机
其他试剂盒 其他产品
免疫学试剂 免疫学试剂
科研细胞因子 转化生长因子 白细胞介素因子 肿瘤坏死因子 集落刺激因子 干扰素因子 其他生长因子 神经营养因子 表皮生长因子 胰岛素样生长因子 血管内皮生长因子 血小板衍生生长因子 成纤维细胞生长因子
原料/抗原抗体 抗体类/原料 抗原类/原料 抗原抗体/原料 进口抗体/原料 进口抗原/原料 蛋白类抗体/原料 进口抗原抗体/原料
细胞凋亡与检测 凋亡试剂盒 免疫磁珠试剂盒
广告
当前位置:首页 > 细胞系 > 人细胞系
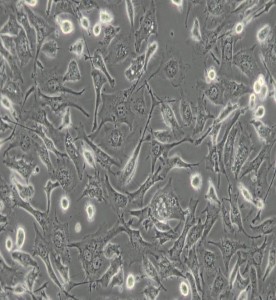
BT-549人乳腺管癌细胞主图

BT-549人乳腺管癌细胞

prev next

  • 快速询价     QQ:2881505708 免费咨询电话:021-54223675 / 021-54461730
    【友情提示】:产品价格与说明书请点击上面的链接,在线询价,索要说明书;
  • 重要提示:因产品不断更新,官网说明书如与纸质版有出入,请以纸质版为准!
  • PDF下载
    产品扫码查看详情
    手机扫描查看

 

BT-549人乳腺管癌细胞

Catalogue No :  C112

Product Format :  a T25 flask

Culture Properties :贴壁

Complete Growth Medium :  89%1640+10%FBS+1%双抗

Atmosphere :  air, 95%; carbon dioxide (CO2), 5%

Application :  Cells and cancer research

NOTE :  FOR RESEARCH USE ONLY

Operation steps for cell culture:

1. 吸走用于培养基,加入3-5mL PBS后轻轻晃动培养瓶润洗细胞;

2. 吸干净PBS后加入1mL 0.25%胰酶-0.53mM EDTA,轻轻摇晃培养皿使胰酶浸没细胞表面,培养瓶放37度培养箱消化;(细胞对于消化比较敏感,消化过度会严重影响细胞状态,导致细胞传代死亡漂浮或者传代后不长。细胞消化到细胞间隙变大但未脱落,可以轻轻吹下时即可终止,禁止消化到细胞完全漂浮。混匀细胞时尽量轻柔,不要吹出大量气泡。)

3. 加入6-8ml完全培养基终止消化,轻轻吹下细胞混匀; 

4. 将混匀的细胞1000rpm(约150g)离心3min,弃上清,再用新鲜培养基重悬37度培养箱继续培养;

传代比例 : 不同细胞生长速度不一,具体传代比例视细胞生长速度而定,大部分细胞适用1:3-1:4传代,生长较慢的细胞可以1:2传代。

Cell cryopreservation:

1. 冻存液:92%完全培养基+8%DMSO(可以根据实验室条件自行选择)

2. 降温步骤:4度10min,-20度2h,-80过夜后液氮保存。

Tips:

1. 细胞经过运输后,部分细胞由于温度变化及剧烈碰撞死亡破碎形成碎片,是正常现象。贴壁细胞可以消化,悬浮细胞直接混匀收集细胞,900-1000rpm(约150g)离心3min,弃上清。加5ml PBS重悬细胞,再900-1000rpm(约150g)离心3min,用新鲜的完全培养基重悬接种到新的培养瓶。第二次PBS重悬是为了去除碎片,如果平时碎片比较少,传代时可以省略PBS重悬的步骤;如果碎片很多,建议PBS多洗几次。

2. 细胞生长不均时,可以将细胞消化吹散后加入新的培养基重新接种或传代。

3. 细胞生长缓慢时,可以选择提高血清浓度培养(最高不超过20%),也可以根据细胞生长状态,选择传代细胞到新的培养瓶中继续培养。

4. 不同细胞贴壁性差异比较大,所以消化时间差别较大,20s-10min均有可能,具体以细胞消化到相互分离但未脱落,并可以轻轻吹下为准,严禁消化到细胞完全漂浮。客户消化过度导致细胞死亡、漂浮、生长缓慢,不提供免费售后服务。

5. 干冰发货均为两支,客户先复苏一支,若复苏失败及时联系我方并在我方指导下复苏第二支。若客户同时复苏两支均状态不佳,我方不提供免费售后服务。

6. 细胞状态正常时,应尽快冻存细胞保种,冻存后应随机抽取一支检测冻存效果。我方不对客户冻存细胞导致死亡负责,客户冻存细胞死亡不提供免费售后服务。

Notice

客户收到细胞有任何疑问请及时致电我们,细胞收到后1周内没有任何电话,或其他形式回访,默认为细胞质量没问题,之后出了任何问题不给予免费售后。细胞免费售后只提供一次,若重发后再次培养死亡不再免费补发,细胞收货时已经死亡或密度不足的除外。

 

酶联生物经过不断的实验优化和改进,积累了大量的经验,拥有专业的酶联研发团队。利用专业的酶联免疫技术自主研发的elisa试剂盒,能对血清及其它样本定量检测抗原,定性检测特异性抗体。优质的试剂,先进的仪器和正确的操作是保证ELISA检测结果准确可靠的必要条件。ELISA检测的方便性、稳定性、重复性和可靠性方面都具有很大的优势。

ELISA检测技术服务内容:
1、双抗体夹心法检测抗原 2、间接法检测抗体 3、为客户提供各种ELISA技术进行样本检测。
elisa代测服务项目
以上代测费,凡购买本公司试剂盒,我们免费代测!
凡购买本公司目录任何一种酶联免疫检测试剂盒,您只需将需要检测的动物(Human, Rat, Mouse, Rabbit, Monkey, Pig……)种类和检测指标(白介素类、激素类)及标本数量(48T/96T)通知公司业务员即可。在接到客户标本当日起,现货产品一周内将检测报告交到客户手中!
欢迎各科研单位在各种项目上与我们公司开展不同层次的密切合作,以双赢求发展,共同进步,为中国检测事业的发展积累经验。

二、样本要求
在收集标本前都必须有一个完整的计划,必须清楚要检测的成份是否足够稳定。我们提倡新鲜标本尽早检测,对收集后当天就进行检测的标本,及时储存在4℃备用,如有特殊原因需要周期收集标本,请造模取材后,将标本及时分装后放在-20℃或-70℃条件下保存。因冰室与室温存在一定温差,蛋白极易降解,直接影响实验质量,所以避免反复冻融。代测放免标本的客户取材前须向我司销售人员索要说明书,具体操作注意事项请与我司技术人员沟通。

液体类标本:标本必须为液体,不含沉淀。包括血清、血浆、尿液、胸腹水、脑脊液、细胞培养上清、组织匀浆等。

血清:室温血液自然凝固10-20分钟后,离心20分钟左右(2000-3000转/分)。收集上清。如有沉淀形成,应再次离心。

血浆:应根据试剂盒的要求选择EDTA、柠檬酸钠或肝素作为抗凝剂,加入10%(v/v)抗凝剂(0.1M柠檬酸钠或1%heparin 或2.0%EDTA.Na2)混合10-20分钟后,离心20分钟左右(2000-3000转/分)。仔细收集上清。如有沉淀形成,应再次离心。

尿液、胸腹水、脑脊液:用无菌管收集。离心20分钟左右(2000-3000转/分)。仔细收集上清。如有沉淀形成,应再次离心。

细胞培养上清:检测分泌性的成份时,用无菌管收集。离心20分钟左右(2000-3000转/分)。仔细收集上清。检测细胞内的成份时,用PBS(PH7.0-7.4)稀释细胞悬液,细胞浓度达到100万/ml左右。通过反复冻融,以使细胞破坏并放出细胞内成份。离心20分钟左右(2000-3000转/分)。仔细收集上清。保存过程中如有沉淀形成,应再次离心。

组织标本:切割标本后,称取重量。加入一定量的PBS,缓冲液中可加入1μg/L蛋白酶抑制剂或50U/ml的Aprotinin(抑肽酶)。用手工或匀浆器将标本匀浆充分。离心20分钟左右(2000-3000转/分)。仔细收集上清置于-20度或-70度保存,如有必要,可以将样品浓缩干燥。分装后一份待检测,其余冷冻备用。

三、寄标本时需注明以下情况:
1、标本编号;2、所测项目;3、是否做复孔;3、联系方式;4、实验后标本是否寄回。

客户须知:
客户应对所提供的材料及信息负责,如因客户提供的材料及信息不准确而引起的实验延误或经济损失由客户承担。

 

为什么要进行细胞系的STR鉴定

 

什么是细胞系鉴定?

 

所谓细胞系鉴定即通过 STR(短串联重复)图谱所建立细胞系的遗传特征。一株细胞系的遗传特征确立后,细胞系可以通过定期的检测,以防止出现细胞系被误认或交叉污染的情况。

 

为什么要进行细胞系鉴定?

 

首先进行细胞系 STR鉴定是很重要的。很多生物医药的研究都采用培养细胞来进行,据估计,15-20%的实验室,实验中所使用的细胞已经不是原来的细胞系,或者与其它细胞系发生了交叉污染。显然,细胞系遭到污染、特征鉴别错误,将会极大的威胁着基于这些细胞而发表的论文质量和研究发现的正确性。为此,很多细胞库现在都要对提交来的细胞系进行鉴定,并对细胞系之间的交叉污染进行监测。

 

什么细胞最容易污染别的细胞?

 

Hela细胞。五十多年来,Hela细胞系被广泛用于医学和生物学领域的研究,对当代生命科学的发展屡建奇功,是名副其实的生物学研究的亲历践行者。同时很多被广泛研究的细胞系都被Hela细胞淹没,因为她长得快,当你发现自己的一个培养瓶里的细胞突然长得很好,而以后都用它传代做实验的话,十之八九是搞错了。 早在1967年,遗传学家StanleyGartler发现HEp-2和INT407这两种细胞系都是生物学领域研究最多的肿瘤细胞系——Hela细胞。

 

有哪些细胞曾被 Hela污染?

 

lnt-407、HEp-2、WISH(人羊膜细胞)、Acc-M(人原发性延腺癌细胞)、Bcap-37 (人乳腺癌细胞)、HAC-84(人肺腺癌克隆)、Hepatoma(人肝癌细胞)、HUL-42(人肺腺癌细胞)、CNE(人鼻咽癌细胞)、SPC-A-1(人肺腺癌细胞)、Tca-8113(人舌鳞癌细胞)、YTMLC(个旧肺鳞癌细胞)等一百余种。

 

如何进行细胞系鉴定?

 

细胞系鉴定目前主要基于国际身份认证委员会的标准。依据该标准,可以通过多重荧光 PCR技术,对人源8个STR位点以及1个性别决定位点进行检测。我公司做的STR 鉴定,除以上9个位点之外,将对检测细胞加做12个其它位点信息。

 

什么时候需细胞系鉴定?

 

1)当建立或获得一个新的细胞系时;

2)一个涉及到细胞试验项目开始/结束时;

3)在细胞冻存之前,或细胞已连续培养2~3个月时;

4)发表文章或申请课题经费前;

5)细胞系表现不稳定或结果与预期差别较大时;

6)当实验室使用超过一种细胞系时,所有细胞系应先鉴定以排除交叉污染的可能。

 

如何提供鉴定样本?

 

我公司建议客户对每种进行检测的目的细胞复苏好 T25培养瓶寄送活细胞,或者对每种需要进行检测的细胞单独收集在1.5ml离心管中,细胞数目不少于10的6次方个。细胞需要离心沉淀,并且以PBS清洗尽可能去除上清培养基,沉淀进行冰冻(干冰)保存与寄送。(推荐复苏好T25培养瓶常温寄送活细胞,细胞数目不少于10的6次方个)

 

如何知道细胞系是否发生交叉污染了?

 

如果存在细胞系之间发生交叉污染,而且鉴定用的细胞可能有两种以上的细胞系时,那么在进行 STR位点检测的时候,多个位点会出现两个以上的峰。峰高值表示该等位基因的信号强度,理论上峰值与样本的DNA浓度有直接的关系。因此,存在交叉污染的混合细胞系中,其中一个位点中某些峰会明显高于其他的峰,其中大峰是属于混合细胞系中那个主要细胞系,而小峰则属于那个次要细胞系。值得注意的是,当发生两个或以上细胞混合的时候,检测结果看起来非常像细胞系的“遗传不稳定”——当一个细胞系存在亚群时,尤其是一些癌细胞系,由于遗传不稳定的存在,在一些位点的STR特性会不同。因此经验丰富的分子专家是非常重要的,他能够帮助分析复杂的电泳图谱(STR峰图),从而判断是否由于发生细胞系交叉污染而导致多等位基因情况。

 

如何根据 STR数据判断细胞系的身份?

 

收到细胞系鉴定结果以及 STR信息,可以与参考数据库进行比对。如果细胞样本的每个STR位点和参考细胞STR位点都能重合匹配,即说明该细胞系正确,反之则说明你的细胞系可能被错误标记,交叉污染或发生遗传不稳定。一般说来,匹配度≥80%即可认为该细胞系正确,匹配度<80%则说明该细胞系的来源需要被怀疑。

  : 如果细胞系被鉴定出发生交叉污染或错误标记,则需要拿更早代数的细胞进行鉴定,从而找到问题的起源或者直接从可靠的机构购买一株新的细胞系。